ترومبوز وريدهاي مغزي يکي از علل مهم سکته مغزي به ويژه در کودکان و بالغين جوان است
آن شايع تر از آنچه قبلا تصور مي شد است و اغلب در تصويربرداري اوليه ناديده گرفته مي شود
به دليل تظاهرات باليني غيراختصاصي و يافته هاي تصويربرداري ظريف، تشخيص اغلب دشوار است
در اين مقاله به موارد زير مي پردازيم
    يافته‌هاي مربوط به تصويربرداري معمول که بايد شما را به ترومبوز وريدي نامعلوم مشکوک کند
  نحوه تصويربرداري از بيماران مشکوک به ترومبوز وريدي
خطاهاي تشخيصي

:سينوس هاي دورال اصلي
سينوس ساژيتال فوقاني، سينوس هاي عرضي، مستقيم و سيگموئيد
:وريدهاي کورتيکال
. که لوب تمپورال را تخليه مي کند Labbeوريد
. که بزرگترين سياهرگ کورتيکال مغز است و به سينوس ساژيتال فوقاني تخليه مي شود Trolard وريد
:وريدهاي عمقي
وريدهاي
Internal cerebral و thalamostriate.
سينوس کاورنوس
از نظر باليني بيماران مبتلا به ترومبوز وريدهاي مغزي با علائم متغيري از سردرد تا تشنج و کما در موارد شديد تظاهر مي‌کنند.
شوک و کم آبي در نوزادان يکي از علل شايع ترومبوز وريدي است.
در کودکان بزرگتر اغلب عفونتهاي لوکال مانند ماستوئيديت يا کواگولوپاتي (اختلا انعقادي ) است.
در بزرگسالان، اختلال  انعقادي در 70 درصد و عامل عفونت در 10 درصد موارد است.
در زنان، استفاده از داروهاي ضد بارداري خوراکي و بارداري از عوامل جدي خطر است.

ترومبوز وريدي تظاهرات غير اختصاصي دارد و بنابراين مهم است که يافته‌هاي تصويربرداري ظريف و علائم غيرمستقيم که ممکن است وجود ترومبوز را نشان دهند، شناسايي شوند.
.اين يافته‌ها اغلب در اسکن‌هاي اوليه وجود دارند
.از نظر باليني بيماران مبتلا به ترومبوز وريدي اغلب با تشنج  ، همراه است  ولي در  بيماران مبتلا به انفارکتوس شرياني علامتي نيست
در يک ام ار اي يا  سي تي معمولي بدون  کنتراست، بايد احتمال ترومبوز وريدي را  در نظرگرفت  زماني که بينيد
علائم مستقيم ترومبوز
انفارکتوس در محل غير شرياني، به خصوص اگر دو طرفه و خونريزي دهنده باشد
خونريزي لوبار کورتيکال يا محيطي
ادم کورتيکال مغز


علامت لخته متراکم
ديده شدن مستقيم لخته در وريدهاي مغزي در سي تي اسکن بدون تزريق ماده کنتراست ، به عنوان علامت لخته متراکم شناخته مي شود
تنها در يک سوم موارد ديده مي شود
به طور معمول سياهرگ ها کمي دنس تر از بافت مغز هستند و در برخي موارد مشکل ميتوان گفت که وريد طبيعي است يا خيلي متراکم است (به مشکلات مراجعه کنيد
در اين موارد يک اسکن  با تزريق ماده کنتراست براي حل اين مشکل ضروري است

علامت لخته متراکم (2

ديده شدن يک وريد کورتکس ترومبوزه شده که به صورت يک خط يا شبيه يک طناب با دانسيته بالا ديده ميشود  که به عنوان علامت
نيز شناخته مي شودcord
اصطلاح ديگري که اغلب استفاده مي شود، علامت رگ متراکم است



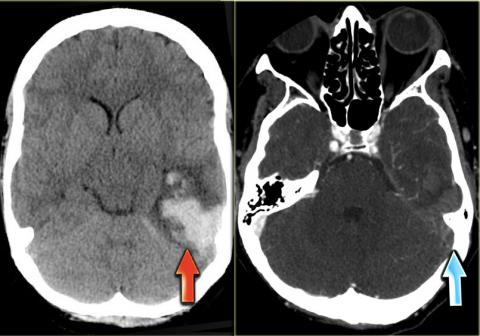
علامت لخته متراکم (3
در تصاوير سمت چپ بيمار مبتلا به انفارکتوس هموراژيک در لوب تمپورال (فلش قرمز) است
به سينوس عرضي متراکم به دليل ترومبوز (فلش هاي آبي) توجه کنيد


علامت دلتاي خالي
علامت دلتاي خالي يافته اي است که درسي تي با تزريق ماده کنتراست  ديده مي شود و اولين بار در ترومبوز سينوس ساژيتال فوقاني توصيف شد
اين علامت شامل يک ناحيه مثلثي شکل  اينهنس شده با مرکز با دانيسته کم است که مطرح کننده سينوس ترومبوز شده است
افزايش گردش خون کولترال وريدي دورال در اطراف سينوس ترومبوز شده ، باعث ايجاد ناحيه مرکزي با دانسيته کم مي شود
در ترومبوز اوليه ممکن است علامت دلتاي خالي وجود نداشته باشد و شما بايد به عدم ديده شدن وريد ترومبوز شده روي سي تي اسکن با تزريق تکيه کنيد
اين علامت ممکن است بعد از دو ماه به دليل کاناليزاسيون مجدد داخل ترومبوز، وجود نداشته باشد

علامت دلتاي خالي (2
در سمت چپ يک مورد ترومبوز سينوس عرضي سمت راست و سينوس عرضي و سيگموئيد چپ (فلش) ديده ميشود.
در داخل وريدهاي اينهس شده  ترومبوز با دانسيته کم ديده ميشود .

MR عدم وجود فضاي خالي جريان طبيعي در

در تصاوير اسپين اکو، وريدهاي مغزي معمولاً به علت عدم دريافت سيگنال از پرتون هاي خون ، شدت سيگنال پاييني را نشان مي‌دهند
عدم دريافت سيگنال از عروق به بهترين وجه در
ديده مي شود T2-weighted و FLAIR ،تصاوير
  نيز ديده شوند T1-weighted اما گاهي اوقات در تصاوير
ترومبوز به صورت عدم وجود خلأ جريان ظاهر مي شود
اگرچه اين علامت کاملاً قابل اعتماد نيست، اما اغلب يکي از اولين چيزهايي است که شما را به احتمال ترومبوز وريدي مشکوک ميکند
مرحله بعدي بايد يک آزمون با کنتراست بايد باشد
با عدم سيگنال عروق در سينوس سيگموئيد راست و وريد ژوگولار (فلش آبي) را نشان ميدهد T2 در سمت چپ تصويري با وزن
در سمت چپ سيگنال بالاي غير طبيعي در نتيجه ترومبوز وجود دارد (فلش قرمز

عدم وجود فضاي خالي جريان طبيعي در  ام ار اي  2
   تصاوير سمت چپ سيگنال بالاي غير طبيعي را در تصاوير داراي وزن
به دليل ترومبوز نشان مي دهدT1
ترومبوز از وريدهاي عمقي مغزي و سينوس مستقيم تا سينوس عرضي و سيگموئيد در سمت راست گسترش مي يابد
به سيگنال بالاي غير طبيعي در سينوس عرضي سمت چپ در تصوير پايين سمت راست توجه کنيد
عدم وجود سيگنال در تصاوير ام ار اي مي تواند در تشخيص ترومبوز وريدي بسيار مفيد باشد، اما برخي ا مشکلات وجود دارد که در ادامه به آن خواهيم پرداخت.
  شود T1 جريان آهسته مي تواند در وريدها رخ دهد و باعث سيگنال بالا در تصاوير

انفارکتوس وريدي
علامت ديگري که مي تواند به شما در تشخيص ترومبوز وريدي مشکوک کمک کند انفارکتوس وريدي است
ترومبوز وريدي منجر به فشار وريدي بالا مي شود که در ابتدا منجر به ادم وازوژنيک در ماده سفيد ناحيه آسيب ديده مي شود
هنگامي که اين روند ادامه يابد ممکن است منجر به انفارکتوس و ايجاد ادم سيتوتوکسيک در کنار ادم وازوژنيک شود.
اين برخلاف انفارکتوس شرياني است که در آن فقط ادم سيتوتوکسيک وجود دارد و ادم وازوژنيک وجود ندارد
به دليل فشار بالاي وريدي، خونريزي در انفارکتوس وريدي بيشتر از انفارکتوس شرياني ديده مي شود
از آنجايي که ما با انفارکتوس هاي وريدي چندان آشنا نيستيم، اغلب آنها را به عنوان انفارکتوس در يک مکان غير معمول يا در يک توزيع غير شرياني در نظر مي گيريم
با اين حال، انفارکتوس وريدي داراي توزيع معمولي است، همانطور که در سمت چپ نشان داده شده است
از آنجايي که بسياري از وريدها درساختارهاي خط مياني هستند، انفارکتوس هاي وريدي اغلب دو طرفه هستند
که در ترومبوز سينوس ساژيتال فوقاني، سينوس مستقيم و وريدهاي داخلي مغز ديده مي شود

انفارکتوس وريدي (2) – ترومبوز سينوس ساژيتال فوقاني
سينوس ساژيتال فوقاني بيشترين ترومبوز ساختار وريدي سينوس ساژيتال فوقاني است
انفارکتوس در 75 درصد موارد ديده مي شود
ناهنجاري ها پاراساژيتال و اغلب دو طرفه هستند
در 60 درصد موارد خونريزي ديده مي شود
در سمت چپ ادم پاراساژيتال دو طرفه و خونريزي زيرين در بيمار مبتلا به ترومبوز سينوس ساژيتال فوقاني ديده ميشود

در سمت چپ تصاوير سي تي  اسکن با بازسازي ساژيتال در بيمار مبتلا به خونريزي پاراساژيتال دو طرفه ناشي از ترومبوز سينوس ساژيتال فوقاني را مشاهده ميکنيد
فلش قرمز روي تصوير با کنتراست ، نشان دهنده نقص پر شدگي ناشي از ترومبوز است

Labbe انفارکتوس وريدي (3) - وريد
است Labbe يکي ديگر از انفارکتوس هاي وريدي معمول ، ترومبوز وريد
در تصاوير سمت چپ، وجود دانسيته کم در ماده سفيد و در ماده خاکستري لوب تمپورال چپ مشخص است
تشخيص افتراقي گسترده اي از جمله انفارکتوس شرياني، عفونت، تومور و غيره
وجود دارد . توجه داشته باشيد که مقداري دانسيته خطي در ناحيه انفارکتوس وجود دارد
اين به دليل خونريزي است
در تشخيص افتراقي بايد انفارکتوس وريدي در قلمرو وريد لابه را نيز لحاظ کنيم
دانسيته ظريف در ناحيه سينوس عرضي سمت چپ (پيکان) کليد تشخيص است
اين نشانه مستقيم ترومبوز است و مرحله بعدي سي تي اسکن با تزريق است که تشخيص را تاييد مي کند (نشان داده نمي شود 

  تصاوير سمت چپ  نشان دهنده يک بيمار با خونريزي در لوب تمپورال است
هنگامي که جزء هموراژيک انفارکتوس بزرگ باشد، ممکن است شبيه هر هماتوم داخل مغزي ديگري با ادم وازوژنيک اطراف باشد
سرنخ تشخيص در اين مورد در تصوير با  کنتراست است که به خوبي نقص پر شدن سينوس سيگموئيد (فلش آبي) را نشان مي دهد

سمت چپ يک کيس مشابه در ام ار اي است 
ترکيبي از ادم وازوژنيک (فلش قرمز)، ادم سيتوتوکسيک و خونريزي (فلش آبي) وجود دار
اين يافته ها و قرار گرفتن در لوب تمپورال، بايد شما را به فکر انفارکتوس وريدي ناشي از
بياندازد Labbe ترومبوز وريد 
معاينه بعدي بايد ام ار اي يا سي تي اسکن با تزريق ماده کنتراست براي اثبات تشخيص باشد

انفارکتوس وريدي (4) - وريدهاي عميق مغزي
  سيگنال بالايي را در تالاموس چپ نشان مي دهد  FLAIR در سمت چپ تصوير
وقتي به دقت نگاه مي کنيد و ممکن است مجبور شويد تصوير را بزرگ کنيد تا متوجه اين موضوع شويد، سيگنال بالايي نيز در گانگليون قاعده اي سمت راست وجود دارد
اين يافته هاي دوطرفه بايد شک ترومبوز وريدهاي عمقي مغزي را افزايش دهد
بازسازي سي تي ساژيتال نقص پر شدن سينوس مستقيم و وريد گالن را نشان مي دهد (فلش
در سمت چپ يک بيمار جوان با ناهنجاري هاي دو طرفه در ناحيه هسته هاي بازال ديده ميشود
بر اساس يافته هاي تصويربرداري، تشخيص هاي افتراقي گسترده اي از جمله بيماري عروق کوچک، دميلينيزاسيون، مسموميت و اختلالات متابوليک وجود دارد
در اين بيمار  در پايين امده است T1 تصاوير با وزن  را

به سيگنال بالاي غيرطبيعي در وريدهاي داخلي مغز و سينوس مستقيم در تصاوير داراي
توجه کنيد، جايي که بايد سيگنال کم وجود داشته باشد T1 وزن
که اين برخلاف سيگنال کم در ساير سينوس ها است
تشخيص انفارکتوس دو طرفه در هسته هاي قاعده اي ناشي از ترومبوز وريدهاي عمقي مغزي است

انفارکتوس وريدي (5) - ادم
در برخي موارد از ترومبوز وريدي، يافته هاي تصويربرداري مي توانند به طور کامل برطرف شوند.
در سمت چپ بيمار يک ناحيه زير کورتکس با شدت سيگنال بالا را نشان ميدهد.
اولين تصور اين بود که اين مي تواند گليوما درجه پايين باشد.
در اسکن پيگيري، ناهنجاري ها به طور کامل برطرف شد.
البته در اين مورد  يک علامت عروق دنس در يکي از وريدهاي کورتيکال مشاهده شد و تشخيص ترومبوز وريدي داده شد.
شدت سيگنال بالا را مي توان به ادم وازوژنيک به دليل فشار بالاي وريدي ناشي از ترومبوز نسبت داد.

سي تي ونوگرافي
سي تي ونوگرافي يک تکنيک ساده و مستقيم براي نشان دادن ترومبوز وريدي است
در استيج اوليه وريد ترومبوز شده  اينهس نميشود و در استيج بعدي ترومبوز اينهس نميشود ولي اطراف آن اينهس ميشود که همانطور که قبلاً بحث شد ، به عنوان علامت دلتاي خالي شناخته مي شود
برخلاف ام ار اي ، سي تي ونوگرافي عملاً هيچ تشخيص کاذب ندارد.
تنها کاري که نبايد انجام دهيد  اين است که اسکن را خيلي زود انجام دهيد ، يعني قبل از اينکه عروق اينهس شود يا خيلي دير، يعني وقتي کنتراست از دست رفته باشد
اسکن  تکميلي مانند سي تي آرتريوگرافي و اضافه کردن 5 تا 10 ثانيه تاخير  کمک کننده است
از 45تا 50 ثانيه تاخير پس از شروع تزريق ماده حاجب استفاده شود
حداقل 70 سي سي کنتراست استفاده مي کنيم
در سمت چپ تصاويري از سي تي ونوگرافي را نشان ميدهد که ترومبوز در بسياري از سينوس ها  ديده ميشود
تصويربرداري در موارد مشکوک به ترومبوز
ديده ميشود Labbe در سمت چپ تصاوير يک بيمار مبتلا به انفارکتوس در ناحيه وريد

در تصاوير بدن تزريق ماده کنتراست مي توانيد ترومبوز متراکم در سينوس عرضي و خونريزي در ناحيه انفارکتوس را ببينيد
در تصاوير با تزريق يک نقص پر شدن در سينوس عرضي ديده مي شود

ام ار ونوگرافي
تکنيک‌هاي ام ار اي  که براي تشخيص ترومبوز وريدهاي مغزي استفاده مي‌شوند عبارتند از
با کنتراست  MRV  و TOF   و  PC  
استفاده مي کنيد، هميشه به تصاوير منبع نگاه کنيد MIP هنگامي که از  بازسازي
:در شکل سمت چپ
PC  آگزيال آنژيوگرافي فاز کنتراست MIP تصوير
سينوس عرضي راست و وريد ژوگولار به دليل ترومبوز سيگنالي ندارند

تصاوير سمت چپ ام ار ونو گرافي با تزريق ماده کنتراست است که در بازسازي لترال و اوبليک
بصورت نرمال است MIP
وريد  (فلش آبي) توجه کنيد  Trolard  (فلش قرمز) Labbe به وريد
هر تکنيک ام را اي مشکلات خاص خود را دارد که در  ادامه به آن خواهيم پرداخت
ام ار ونوگرافي با کنتراست اين عيب را دارد که بايد  ماده کنتراست تزريق شود، اما درصد خطاي تشخيصي کمتري دارد


Arachnoid granulations
گرانوليشن آراکنوئيد  يشرفتگي هاي کوچک آراکنوئيد  از طريق دورامتر هستند.
آنها به داخل سينوس هاي وريدي ئيشرفت ميکنند و ممکن است نقص هاي پرشدگي ناشي از ترومبوز بنظر آيد.
معمولاً اين  گرانوليشن به راحتي ميتوان  از ترومبوز افتراق داد.

تقليد از علامت لخته متراکم
معمولاً سياهرگ‌ها کمي دنس تر از بافت مغز هستند و در برخي موارد نمي‌توان گفت طبيعي يا خيلي متراکم است.
در اين موارد يک اسکن با کنتراست براي حل اين مشکل ضروري است.
در سمت چپ تصوير يک سينوس عرضي ترومبوز شده و در کنار آن يک سينوس عرضي طبيعي ديده ميشود

سينوس عرضي طبيعي (چپ) و سينوس عرضي ترومبوزه (راست
مغز نوزادان معمولاً نسبت به کودکان بزرگتر و بزرگسالان دانيسته کمتري دارد 
اين منجر به دانيسته نسبي بالاي خون در سينوس ساژيتال در مقايسه با مغز مي شود که مي تواند يک علامت لخته متراکم را  تداعي کند


هماتوم شبيه به علامت لخته دنس
معمولاً در افتراق هماتوم از سينوس ترومبوز مشکلي وجود ندارد
در اينجا يک بيمار با هماتوم اينتراکرانيال پريفرال ديده ميشود
از آنجايي که در ناحيه سينوس عرضي قرار دارد، مانند سينوس عرضي ترومبوز شده  بنظر ميرسد

علامت دلتاي خالي
در اينجا بيماري با هماتوم ساب دورال در سمت چپ که به ناحيه سينوس ساژيتال فوقاني گسترش يافته است (فلش) ديده ميشود
در برداشت اول اين مانند يک علامت دلتاي خالي به نظر مي رسد
با پيمايش در مجموعه داده ها، مشخص شد که اين يک گسترش هماتوم است
آمپيم بيش از حد دنس ، گاهي اوقات مي تواند علامت دلتاي خالي را نيز تقليد کند

زمان بندي اشتباه تزريق
در سمت چپ سه تصوير از يک بيمار مبتلا به ترومبوز وريدي در سينوس ساژيتال فوقاني ديده ميشود
در سمت چپ، يک علامت عروق متراکم يا دنس  را در  سي تي اسکن بدون تزريق مي بينيم
تصوير وسط ، 25 ثانيه پس از تزريق کنتراست گرفته شده است
اينهس شرياني وجود دارد و به نظر مي رسد که سينوس ساژيتال فوقاني نيز کامل اينهس شده است ، اما در واقع آنچه مي بينيم درخشش ترومبوز متراکم است
در  تصوير سمت راست که 45 ثانيه پس از تزريق کنتراست گرفته شده است ، علامت دلتاي خالي وجود دارد که وجود ترومبوز در سينوس را ثابت مي کند

خطاهاي تشخيصي در سي تي اسکن
سينوس عرضي هيپوپلاستيک ( عدم تشکيل سينوس بصورت مادرزادي
هيپوپلازي و آپلازي سينوس عرضي راست يا چپ يک يافته شايع است
به راحتي مي توان آن را با ترومبوز سينوسي اشتباه گرفت، زيرا در ام ار انژيوگرافي يکي از سينوس هاي عرضي وجود ندارد
هنگامي که مشکوک به وجود سينوس عرضي هيپوپلاستيک هستيد، بايد به اندازه سوراخ ژوگولار نگاه کنيد
در سمت چپ تصاوير بيمار مبتلا به هيپوپلازي سينوس عرضي چپ ديده ميشود 
به تفاوت اندازه سوراخ ژوگولار توجه کنيد

آگزيال از تصاوير فاز کنتراست ديده ميشود  MIP در سمت چپ يک بازسازي

براي تشخيص اينکه آيا سينوس عرضي هيپوپلاستيک يا سينوس ترومبوز وجود دارد، بايد به تصاوير منبع نگاه کنيد
در تصوير منبع در سمت راست مي توانيد ببينيد که هيپوپلازي (فلش آبي) وجود ندارد و اندازه سوراخ ژوگولار يکسان است
در اين مورد ترومبوز سينوس عرضي چپ وجود دارد

در سمت چپ مورد ديگري که نشان مي دهد نمي توانيد به طور کامل به سکانس ام ار اي فاز کنتراست تکيه کنيد
سيگنال در وريد به سرعت جريان خون و سرعت رمزگذاري شده توسط تکنسين بستگي دارد
در سمت چپ، بيماري با عدم مشاهده سينوس عرضي چپ را مشاهده مي کنيد
که اين مي تواند هيپوپلازي، ترومبوز وريدي يا جريان آهسته باشد
  با کنتراست، واضح است که سينوس با کنتراست پر شده است و مشکلي ندارد T1 در تصوير با وزن

شدت سيگنال پايين در ترومبوز
به طور معمول هنگامي که سيگنال کم در وريد وجود دارد، آن را به خلأ جريان و نشانه اي از باز بودن وريد نسبت مي دهند
با اين حال، در برخي از مراحل ترومبوز، دي اوکسي هموگلوبين داخل سلولي وجود دارد که در تصاوير بر
تيره است و جريا و طبيعين خالي را تقليد مي کند T2 وزن 
در سمت چپ يک سينوس عرضي راست ترومبوز شده با علامت دلتا در تصويربا کنتراست وجود دارد
  به دليل T2-weighted سينوس داراي شدت سيگنال پاييني در تصوير
وجود دي اوکسي هموگلوبين داخل سلولي است
با کنتراست، واضح است که سينوس با ترومبوز پر شده وجود دارد T1 در تصوير با وزن

فلو ويد  در ام ار اي با کنتراست 
با کنتراست در سمت چپ ناحيه اي با شدت سيگنال پايين در داخلT1 در تصاوير
سينوس عرضي اسنهس شده وجود دارد
اين مي تواند به راحتي با يک ترومبوز مرکزي در داخل سينوس اشتباه گرفته شود
اما اين نتيجه خلأ جريان است
با تصاوير کنتراست فاز ادامه دهيد

در تصاوير کنتراست فاز مشخص است که سينوس عرضي بتصوير کشيده شده  است.

مي‌توان نتيجه گرفت که ام ار اي داراي نکات مثبت و منفي کاذب بسياري در تشخيص ترومبوز وريدي است. ام ار -ونوگرافي با کنتراست پيشرفته ترين روش ام ار اي است. سي تي ونوگرافي حتي قابل اعتمادتر است، زيرا آسان است و نسبت به خطاهاي تشخيصي حساسيت کمتري دارد.

:عبارتند ازTOF خطاهاي تشخيصي در تصويربرداري 
از دست دادن سيگنال به دليل جريان در پلن تصوير برداري
بوسيله متهموگلوبين در ترومبوز T1-Shine جريان شبيه‌سازي شده توسط


DAVF
ترومبوز مزمن سينوس دورال مي تواند منجر به تشکيل فيستول شرياني وريدي دورال و افزايش
شودCSFفشار 
يا فيستول شرياني وريدي دورال يک اتصال غير طبيعي بين شريان هاي دورال است کهDAVF
شاخه هاي کاروتيد خارجي با سينوس هاي وريدي هستند. ترومبوز سينوسي در بسياري از بيماران مبتلا به فيستول شرياني وريدي دورال ديده مي شود، اما علت آن هنوز نامشخص است 
دو مکانيسم ممکن وجود دارد: (الف) ترومبوفلبيت سينوس دورال ممکن است باعث ايجاد فيستول دورال شود و (ب) در جريان برگشت جريان فيستول دورال ممکن است منجر به ترومبوز شود.
عمدتاً بر وجود رفلاکس لپتومننژيال مرتبط با فشار خون وريدي مغزي DAVF طبقه بندي هاي فعلي 
که منجر به انفارکتوس وريدي مغزي يا خونريزي مي شود تمرکز دارد.

ترومبوز مزمن سينوس دورال و سندرم هاي مرتبط
پيگيري T2  سمت چپ  تصاوير
در آوريل 2008 هيچ ناهنجاري وجود نداشت
  اطراف عصب بينايي CSF در ژانويه 2009 علائمي از فشار خون داخل جمجمه مانند
در ساقه هيپوفيز وجود دارد CSF و

CSF ترومبوز و افزايش فشار
در برخي از بيماران ترومبوز سينوس دورال ممکن است، حتي پس از کاناليزاسيون مجدد، منجر به اختلالات مداوم در گردش خون وريدي شود
  شود که توسط پونکسيون کمري ارزيابي مي شود CSF اين ممکن است منجر به افزايش فشار داخل جمجمه
از نظر باليني، اين بيماران از سردرد شکايت دارند و ممکن است به دليل ادم پاپيل دچار اختلال بينايي شوند
را در اطراف عصب بينايي و يک هيپوفيز خالي مشاهده کرد CSF در  ام ار اي ، ممکن است افزايش
  که ادم پاپيل و يک هيپوفيز خالي را نشان مي‌دهد T2 در سمت چپ تصويري با وزن
ادامه دهيد  T1 تصوير ساژيتال با وزن را

ساژيتال که سلاي خالي (فلش) را نشان مي دهد T1  در اينجا تصوير با وزن
پر مي شود CSF سلاي خالي ناميده مي شود زيرا سلا عمدتاً با
زيرا هيپوفيز به دليل افزايش فشار داخل جمجمه به سمت پايين فشرده مي شود

قلمرو وريدها
در سمت چپ تصويري از قلمرو درناژ وريدي را مشاهده ميکنيد
تنوع زيادي در اين مناطق وجود دارد و تصوير بايد به عنوان يک راهنماي تقريبي در نظر گرفته شود

رفرنس
ترومبوز سينوس وريدي مغزي
Home
ارتباط با ما
صفحه اول